Home Doctors Treatments Smile Gallery Testimonials Contact
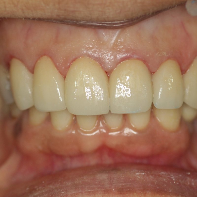
After full mouth rehabilitation
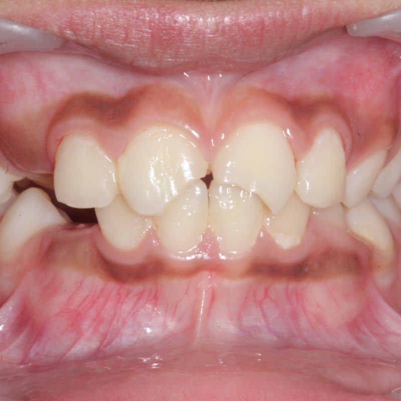
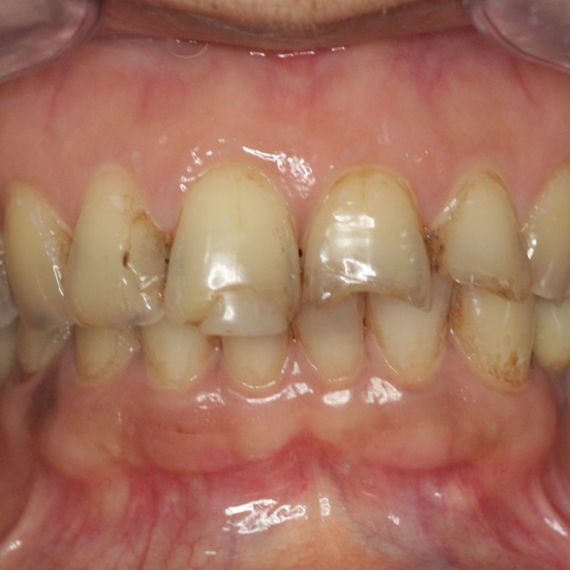
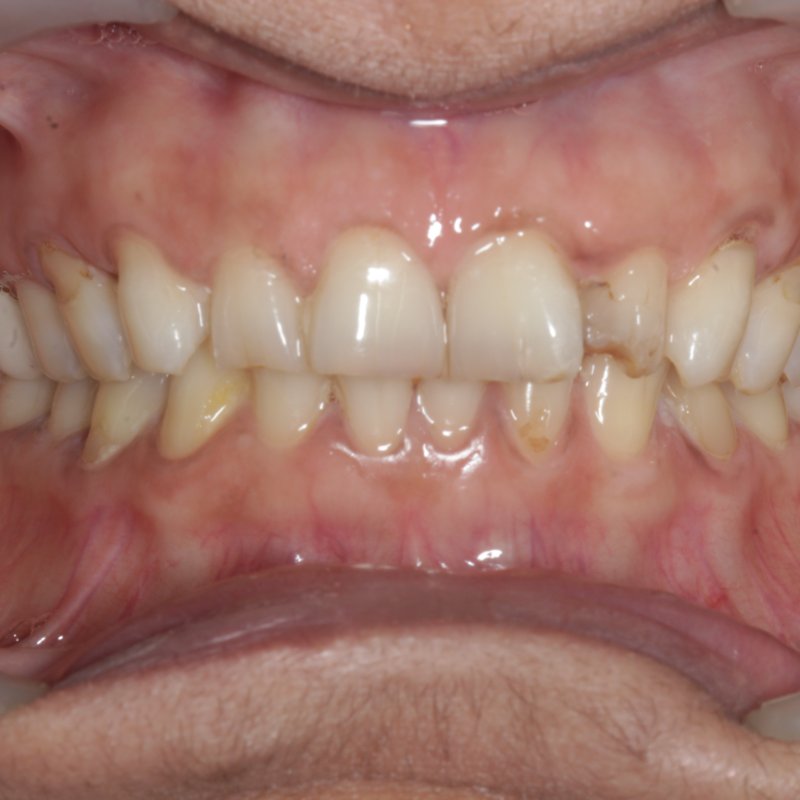
Before full mouth rehabilitation
Before After
Full Mouth Rehabilitation

Complete reconstruction

Comprehensive restoration combining implants, crowns, and bridges to rebuild a full functional bite and natural-looking smile.

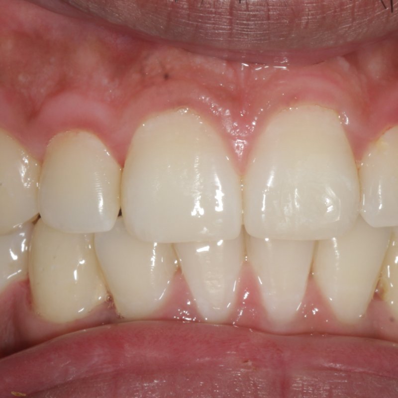
After smile makeover
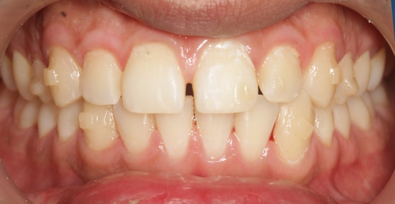
Before smile makeover
Before After
Smile Makeover

Crown & veneer restoration

Stained, worn dentition restored to a clean, confident smile with porcelain crowns and a refreshed gum line.

After invisalign treatment
Before invisalign treatment
Before After
Invisalign

Clear aligner orthodontics

Crowding and a midline gap corrected with a series of clear aligners — no metal brackets, fully removable for daily life.

After composite work
Before composite work
Before After
Composite Restoration

Tooth-coloured fillings

Worn edges and discolouration restored with bonded composite — same-day, conservative, and perfectly shade-matched.

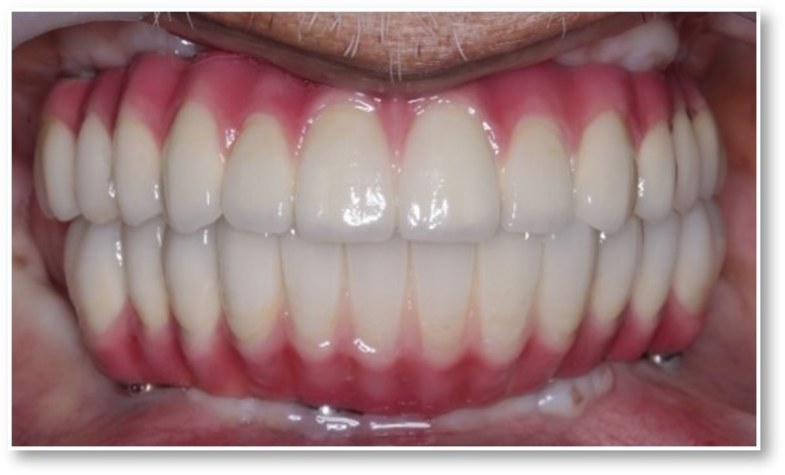
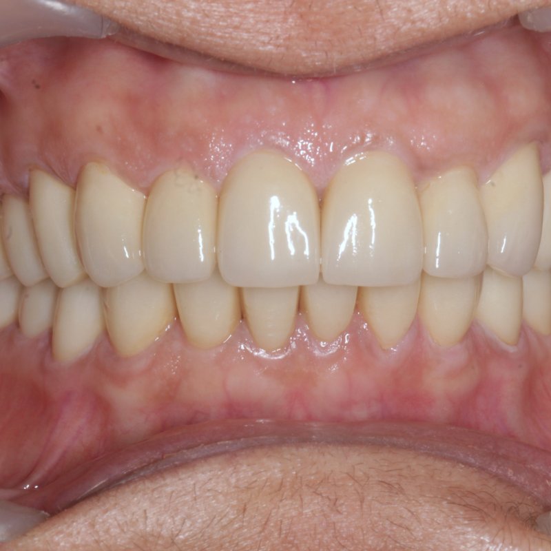
After full prosthetic restoration
Before full prosthetic restoration
Before After
Full Arch Prosthetics

Edentulous to full smile

A full-arch restoration giving back form, function, and confidence — engineered for long-term wear and natural aesthetics.

OPG x-ray after dental implants
OPG x-ray before dental implants
Before After
Dental Implants — OPG

Diagnostic radiograph case

OPG views showing precise implant placement and integration. Imaging-guided planning is at the core of every implant case here.

X-ray after root canal treatment
X-ray before root canal treatment
Before After
Root Canal Therapy

Endodontic treatment

Rotary endodontics with apical seal — pre- and post-treatment radiographs showing complete obturation of the canal system.

All images shown with patient consent. Individual results vary by case.

Ready for Your Transformation?

Book a consultation and we'll plan your case in person.

Book on WhatsApp
Call Now WhatsApp